Loading...
Loading...
Loading...
Monday to Saturday : 5.00 pm to 8.00 pm

naren_are@yahoo.com

+91 98480 50565

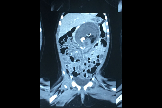
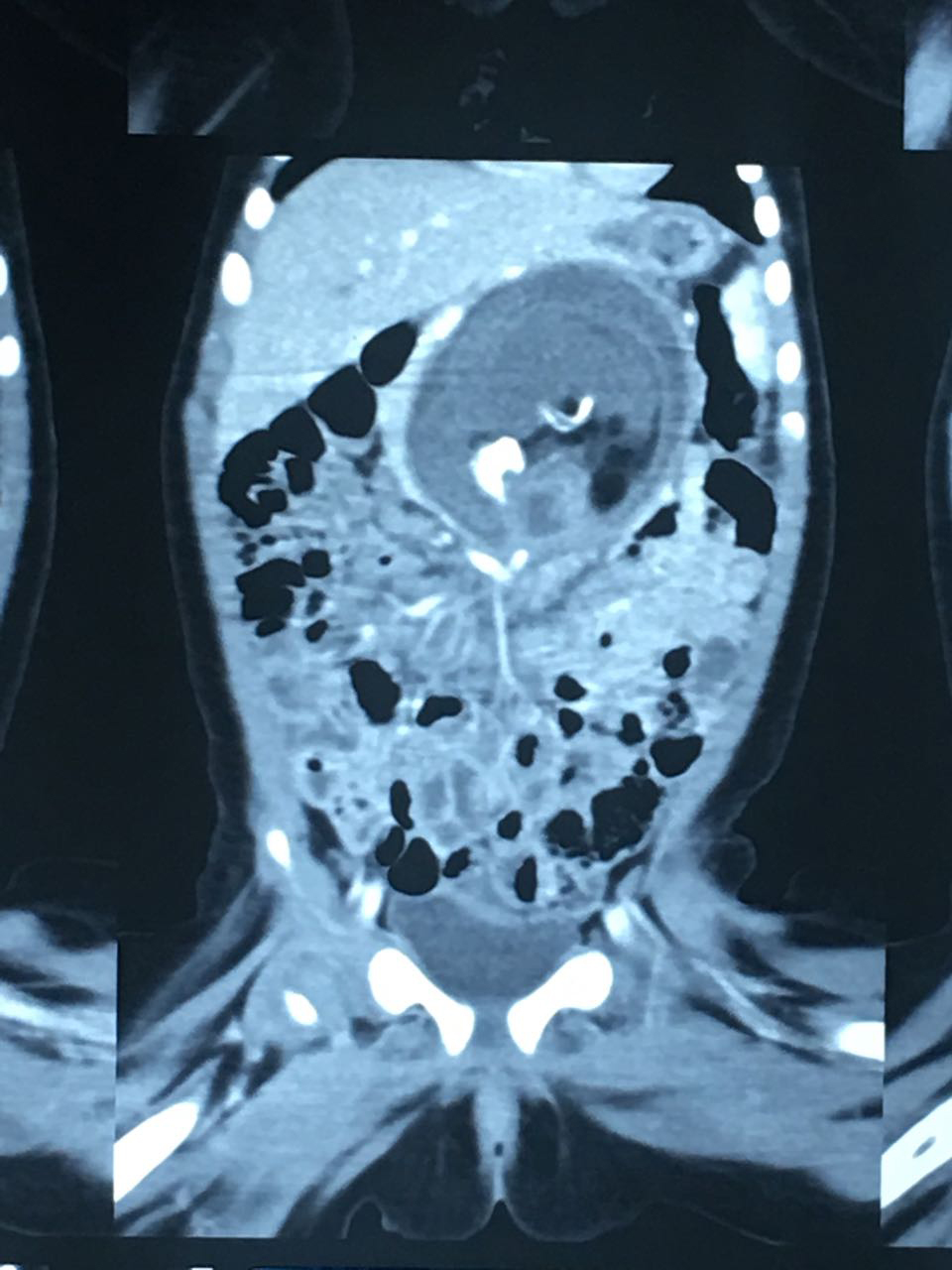
Foetus-In-Fetu (3)

Home Rare Surgeries

Videos

Get In Touch

Vivekananda Multispeciality Hospital

Besides telangana CM camp office Greenlands road, Begumpet, Hyderabad 500016.

naren_are@yahoo.com

+91 98480 50565

Follow Us

© Dr. Narendra Kumar. All Rights Reserved.

Designed by activeads